ریه
-
مصرفکنندگان دخانیات؛ ناقلان بالقوه کرونا
خبرمهم: بیش از ۱.۱ میلیارد نفر از جمعیت بالای ۱۵ سال جهان محصولات تنباکو را به صورت کشیدنی مصرف میکنند؛ این درحالیست…
-
کووید ۱۹ کدام اندام بدن را درگیر میکند؟
خبرمهم: محققان در بررسیهای خود دریافتند که بیماری کووید 19 میتواند رودهها، کلیهها و دیگر اعضای بدن را درگیر کند.
-
آیا کرونا عمر ورزشی فوتبالیستها را پایان میدهد؟
خبرمهم: طبیعی است که کرونا دستگاههای تنفسی را از کار میاندازد اما اثر مستقیمش روی قلب نیست. پس شما نمیتوانید بگویید…
-
ریه چاقها، بهترین میزبان ویروس کرونا!
خبرمهم: ابتلا به بیماری کووید ۱۹ دلایل مختلفی دارد، اما سبک زندگی افراد و بی توجهی به تناسب اندام هم میتواند زمینه…
-
مصرف نوشیدنیهای گرم از بدن در برابر کرونا محافظت میکند؟
خبرمهم: با گسترش ویروس کرونا علاوه بر مجامع رسمی شایعاتی برای پیشگیری و درمان این ویروس مطرح میشود که بعضاً عامل…
-
ارتباط بین قلب و کروناویروس
خبرمهم: کروناویروس جدید بیشتر سلامت ریهها را تحت تاثیر قرار میدهد اما پزشکان مواردی را مشاهده کردهاند که حاکی از…
-
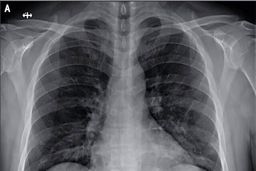
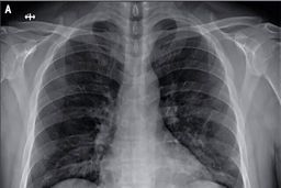
کرونا چه بلایی بر سر ریهها میآورد؟
خبرمهم: کروناویروس به خاطر وجود شاخکهای تاجی شکلی که بر روی سطوحش وجود دارد، با این نام شناخته شده و میتواند سبب…
-
توصیه یک متخصص: از ترس کرونا با مواد ضدعفونیکننده خودتان را نکشید!
خبرمهم: یک متخصص آسیبشناسی سلولی گفت: شخصی که به ویروس کرونا مبتلا شده تنها ۲۰ درصد از ریه درگیر ویروس کرونا است اما…
-
چرا کرونا در شایع شدن بسیار موفق بود؟
خبرمهم: اما در موارد حاد، سیستم ایمنی از کنترل خارج میشود و حتی بیشتر از ویروس، آسیب وارد میکند. به عنوان مثال،…
-
بیماران از ماسک فیلتردار استفاده نکنند
خبرمهم: فوقتخصص ریه گفت: افراد بیمار به هیچ عنوان نباید از ماسکهای فیلتردار استفاده کنند.