عفونت
-
مصرف نوشیدنیهای گرم از بدن در برابر کرونا محافظت میکند؟
خبرمهم: با گسترش ویروس کرونا علاوه بر مجامع رسمی شایعاتی برای پیشگیری و درمان این ویروس مطرح میشود که بعضاً عامل…
-
آیا علائم ابتلا به کرونا تغییر میکنند؟
خبرمهم: مدیرگروه بیماریهای عفونی و گرمسیری دانشگاه علوم پزشکی اهواز در خصوص احتمال تغییر علائم مبتلایان به کرونا،…
-
باید و نبایدهایی درباره فاصله گذاریِ اجتماعیِ ضدکرونایی
خبرمهم: فاصله گذاری اجتماعی شامل اقداماتی است که برای کاهش تعاملات اجتماعی بین مردم انجام میگیرد. این اقدامات جهت…
-
اسطوره لیورپول به کرونا مبتلا شد
خبرمهم: آزمایش کرونای «کنی دالگلیش» - بازیکن و مربی سابق فوتبال - مثبت اعلام شد و باشگاه لیورپول انگلیس این موضوع را…
-
توصیههایی برای جلوگیری از آسیبهای پوستی ناشی از ماسک
خبرمهم: با شیوع کروناویروس کادر درمانی و بسیاری از افراد دیگر مجبور هستند بیشتر روز را از ماسک استفاده کنند که این…
-
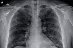
کرونا چه بلایی بر سر ریهها میآورد؟
خبرمهم: کروناویروس به خاطر وجود شاخکهای تاجی شکلی که بر روی سطوحش وجود دارد، با این نام شناخته شده و میتواند سبب…
-
ادعای ترامپ درباره تاثیر داروی مالاریا بر درمان کووید ۱۹
خبرمهم: رئیس جمهوری آمریکا بار دیگر این ادعا را مطرح کرد که داروی درمان مالاریا میتواند کروناویروس را نیز مهار کند و…
-
چه اتفاقی ممکن است برای زنان باردار مبتلا به کرونا بیفتد؟
خبرمهم: سی و سه نوزاد متولد شده از زنان آلوده در ووهان - جایی که داستان کرونا ویروس منشاء آن بود - مورد مطالعه قرار گرف…
-
منشأ «کرونا» کجاست؟ ۱۰ سوالی که آمریکا باید پاسخ دهد
خبرمهم: با آنکه در باور عمومی شهر «ووهان چین» به عنوان نقطه آغاز انتشار ویروس کرونای جدید قلمداد میشود برخی رفتارهای…
-
نکتهای مهم درباره کرونا و شستشوی دستها!
خبرمهم: شستشوی دست ها با آب و صابون به مدت ۲۰ ثانیه استاندارد طلایی برای مقابله با کروناویروس جدید در نظر گرفته می شود…