سی تی اسکن
-
وقوع دیابت بیمزه در بیمار دور از انتظار نیست
خبرمهم: پزشکان متخصص معتقدند تصاویر «سی تی اسکن» منتشر شده از مرحوم امینی گویای این موضوع است که هیچ شواهدی از ضربه به…
-
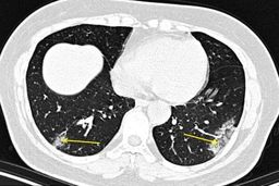
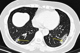
تشخیص سریع ابتلا به کرونا با سی تی اسکن
خبرمهم: گروهی از محققان در آمریکا متوجه شده اند سی تی اسکن ریه ۴ روز زودتر ابتلای فرد به ویروس کرونا را نشان می دهد.