تشخیص سریع ابتلا به کرونا با سی تی اسکن
خبرمهم: گروهی از محققان در آمریکا متوجه شده اند سی تی اسکن ریه ۴ روز زودتر ابتلای فرد به ویروس کرونا را نشان می دهد.

به گزارش بخش اجتماعی سایت خبرمهم ، به نقل از دیلی میل، تحقیقی جدید نشان می دهد تصاویر سی تی اسکن بسیار سریعتر از روش های دیگر به شناسایی ابتلای فرد به ویروس کرونا کمک می کنند. در حقیقت پزشکان با کمک سی تی اسکن می توانند ابتلای فرد به ویروس کرونا را ۴ روز زودتر شناسایی کنند.
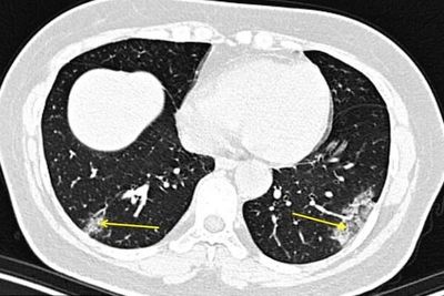
پزشکان در نیویورک برای نخستین بار در آمریکا اسکن ریه بیماران مبتلا به ویروس کرونا را در چین بررسی کردند. آنها معتقدند با کمک سی تی اسکن می توان الگوهای خاصی را در ریه به عنوان نشانگر ابتلا به ویروس کووید۱۹ شناسایی کرد.
به گفته آنان این روش به شناسایی سریع بیمار و ایزوله کزدن او در مراحل اولیه بیماری یعنی حتی قبل از ظهور علائم کمک می کند. از سوی دیگر با کمک سی تی اسکن میزان تخریب بافت ریه را راحت تر می توان بررسی کرد. این درحالی است که اسکن با اشعه ایکس این امکان را برای پزشکان فراهم نمی کند.
آدام برنهایم یکی از استادیاران دانشکده پزشکی ماونت سینایی می گوید: تصاویر سی تی اسکن ابزار شناسایی بسیار دقیقی هستند زیرا می توان اعضای داخلی بدن را به طور سه بعدی مشاهده کرد. به همین ترتیب می توان بسیاری از بیماری ها را نیز شناسایی کرد.
این تحقیق در نشریه ژورنال رادیولوژی منتشر شده و طی آن پژوهشگران اسکن ۹۴ بیمار در ۴ مرکز بهداشتی در ۴ ایالت چین را بررسی کردند. این بیماران بین ۱۸ ژانویه تا ۱ فوریه بستری شده بودند و همه آنها به ایالت ووهان ( مرکز شیوع ویروس کرونا) سفر کرده بودند یا با فردی آلوده به ویروس تماس داشتند.
رادیولوژیست ها اسکن های این افراد را بررسی کردند و بر اساس زمان بروز علائم و زمان انجام سی تی اسکن ، نت برداری کردند این روش نشان داد به وسیله سی تی اسکن سریع تر می توان تخریب بافت ریه را ردیابی کرد.
محققان این پروژه تصمیم دارند سی تی اسکن را در کنار کیت های آزمایش مرکز کنترل و پیشگیری بیماری های آمریکا استفاده کنند./مهر