کد خبر : 61910

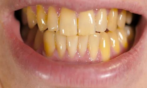
مصرف کدام خوراکی‌ها منجر به زرد شدن دندان‌ها می‌شود؟

خبرهای فوری: مصرف بعضی از خوراکی‌ها با آسیب زدن به مینای دندان باعث زرد شدن دندان‌ها می‌شوند.

مصرف کدام خوراکی‌ها منجر به زرد شدن دندان‌ها می‌شود؟

به گزارش بخش اجتماعی سایت خبرهای فوری ،‌ دندان‌های سفید و مرتب در برقراری ارتباط ما با دیگران نقش موثری دارند و می‌توانند رابطه ما را تقویت بخشند. از این رو برخی افراد همواره از داشتن دندان‌های زرد رنگ عذاب می‌برند و با وقت گذاشتن در کلینیک‌های دندان پزشکی وقت زیادی را صرف زیبایی و سفید کردن دندان‌های خود می‌کنند، اما می‌توان با کنار گذاشتن مصرف برخی مواد غذایی و الگو برداری از تغذیه مناسب خودتان پزشک دندان هایتان باشید. در ادامه به موادغذایی که منجر به زرد شدن دندان‌ها می‌شوند پرداخته ایم.

غذا‌های اسیدی

گوشت‌های قرمز، ماهی ها، غذا‌هایی دریایی، لبنیات، گوجه فرنگی، مرکبات، غلات، میوه جات، سبزیجات و نوشیدنی‌ها حاوی مقدار زیادی خاصیت اسیدی هستند که می‌توانند با تغییر حالت اسیدیته بدن مینای دندان را پوشاده و عاج دندان را زرد کنند.

قهوه

ماده‌ای که باعث می‌شود وقتی میوه‌های کال و نرسیده را مصرف می‌کنیم در دهانمان احساس گسی کنیم با نام تانن شناخته شده است. نقش تانن‌ها حفاظت از گیاهان در مقابل آفات است چرا که با ایجاد طعم گس در میوه‌ها می‌تواند آفات را از گیاه دور کند. مقدار زیادی تانن در قهوه نهفته است که با گذر زمان باعث به وجود آمدن لکه شده و آسیب پذیری بیشتر دندان‌ها را در مقابل مواد اسیدی افزایش می‌دهد.

انواع توت‌ها و انار

جالب است بدانید که رنگدانه‌هایی که رنگ سیری به توت‌هایی مانند تمشک، تمشک آبی، تمشک سیاه و انار می‌دهند باعث لکه دار شدن دندان‌ها می‌شوند.

مشروبات الکی

مطالعات نشان می‌دهد که این نوشیدنی‌های حروم و غیرمجاز باعث ایجاد سایه‌ای خاکستری رنگ روی دندان‌ها می‌شوند و هنگام تمیز کردن از لکه‌های زرد هم سخت‌تر پاک می‌شوند.

رنگ‌های خوراکی

آب نبات، شکلات، نوشیدنی‌های ورزشی و نمک‌های غذایی با رنگ‌های خوراکی می‌توانند به مینای دندان آسیب رسانده و ریشه‌ها را آسیب پذیر کنند. بلافاصله بعد از مصرف مواد غذایی حاوی رنگدانه‌های خوراکی حتما مسواک بزنید و برای داشتن دندان‌های زیبا و مناسب مرتب به دندانپزشک مراجعه کنید. /yjc

نویسنده 6
نویسنده 6
مولف / کد خبرنگار : 5
ارسال نظر